Príbeh Ajše



AJŠA
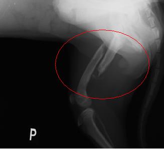
3 mesačné šteniatko malinké, ktoré bojovalo s infekciou netušili sme či Ajša prežije. Našťastie zabojovala no prišlo ďalšie zistenie, ked sa Ajša nedokázala postaviť na nôžku.
Po zložitej operácií už Ajša behá. Poďakovanie patrí všetkým dobrým ľudom, ktorí finančné podporili drahú operáciu nôžky. Ďakujeme za Ajšuľku.
Facebook
WhatsApp